
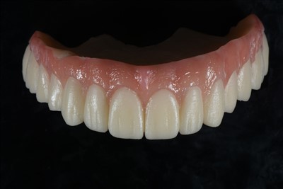
Mik azok a Feldspathic furnérok?
Az ásványi földpátból készült földspathic héjak népszerű választás a hagyományos fogtechnikában. Ezt az anyagot képzett kínai fogászati kerámiások finom porrá őrlik és üvegszerű kerámiává alakítják. Vékony réteg földpát gyanta felhasználásával minden egyes furnér egy okleveles fogtechnikus által kézzel készült, tökéletesre sült, és kontúrozott, hogy áttetsző és természetes megjelenést kapjon. Ezek a héjak a kiváló minőségű fogászati laboratóriumok fémjelzi, különösen a kínai ADS fogászati laborokban.
A Feldspathic héjak prémium választás a fogak megjelenésének javítására. A tanúsított Shenzhen ADS fogászati laboratóriumokban gyártott héjak számos előnnyel rendelkeznek:

01
Természetes megjelenés
A Feldspathic héjak egyedi tervezésűek, hogy tökéletesen illeszkedjenek természetes fogaihoz, és élethű mosolyt biztosítsanak. Átlátszóságuk utánozza a természetes zománc megjelenését, így szinte észrevehetetlenek.
02
Minimális fog előkészítés
Az E-max héjaktól eltérően a földspatikus héjak alig vagy egyáltalán nem igényelnek zománc eltávolítást, megőrzik a természetes fogszerkezetet. A nem előkészített fogászati héjak a kínai fogászati laborunk kulcsfontosságú jellemzői.
03
Tartósság
Bár vékonyak (akár 0,3 mm), a földspathic furnérok akár 10 évig vagy tovább is kitartanak megfelelő ragasztás esetén.
04
Költséghatékonyság
Az ADS Dental Laboratory Kínában biztosítja, hogy a földspathic héjak elérhető áron elérhetők legyenek, így mindenki számára elérhetővé téve a prémium fogászati megoldásokat.
Kiknek alkalmasak a Feldspathic furnérok?

Nem előkészített héjakat igénylő betegek.
Fogak zománcuk nagy részével sértetlen.
Kisebb hibák, például egyenetlen távolság, elszíneződés vagy enyhe deformációk.
Magas esztétikai igényű egyének.
Miért válassz minket?
Együttműködő partnert keresünk üzletünk bővítéséhez.
Globális logisztikai megoldások
A FedEx-szel, UPS-szel, DHL-lel és LINEX-szel kötött partnerségünk gyors és biztonságos szállítást tesz lehetővé világszerte.
Shenzhen Dental Lab szakértelem
Kiemelkedő fogászati laboratórium vagyunk Kínában, több mint 400 minősített fogtechnikussal, akik héjakra és egyéb prémium fogászati megoldásokra szakosodtak. Csapatunk több évtizedes tapasztalattal rendelkezik a hagyományos és fejlett fogászati technológiák terén.
Dedikált ügyfélszolgálat
Több mint 40 képzett képviselő zökkenőmentes kommunikációt és 363-napos online támogatást biztosít.
Gyors átfutási idők
Egy egyszerű ügy, beleértve a logisztikát is, mindössze 7 nap alatt befejezhető.
Átfogó garancia
Minden földspatikus héjunkra hosszú távú garanciát vállalunk, ami tükrözi elkötelezettségünket a kínai fogászati laboratóriumok minőségi szabványai iránt.
Tanúsított fogászati termékek
Furnéraink megfelelnek az olyan nemzetközi tanúsítványoknak, mint a CE, FDA és ISO, biztosítva a biztonságot, a megbízhatóságot és a kiváló teljesítményt
Gyakran Ismételt Kérdések
Kínai ADS fogászati laborunkban a modern kivitelezést a hagyományos fogászati technológiával kombináljuk, hogy kiváló minőségű fogászati labormegoldásokat kínáljunk. Vegye fel velünk a kapcsolatot még ma, ha kedvező árú fogászati laborszolgáltatást szeretne kapni, és tapasztalja meg Shenzhen első számú furnér fogászati laborjának kiválóságát.
Mi a különbség az E-max furnér és a Feldspathic furnér között?
+
-
A lítium-diszilikátból készült E-Max furnérok erősségükről és tartósságukról ismertek. Azonban a shenzeni fogászati laboratóriumokban készített földspathic héjak lehetővé teszik az alak és a szín nagyobb testreszabását. Gyakran előnyben részesítik őket a természetes, személyre szabott megjelenés elérése érdekében.
Milyen vékonyak a Feldspathic furnérok?
+
-
A feldspathic héjak akár 0,3 mm-es vékonyak is lehetnek, minimális fog-előkészítést igényelve.
Teddes földspatikusa héjak fog előkészítést igényelnek?
+
-
Nagyon vékony feldspathic héjak készíthetők kis fog-előkészítéssel.
Úgy néznek ki, mint a természetes fogak?
+
-
Igen, a feldspathic héjakat aprólékosan úgy tervezték, hogy megismételjék természetes fogainak színét, méretét és alakját, hibátlan és organikus megjelenésű mosolyt hozva létre.
Mennyi ideig tartanak?
+
-
Megfelelő gondozás mellett a földspathic furnérok akár évtizedekig is kitartanak. A rendszeres fogmosás, fogselyem használata és a kemény ételek kerülése biztosítja a hosszú élettartamot.
Népszerű tags: földspathic furnérok, Kína földspathic furnér gyártók, beszállítók, gyár
